Life's Too Short: The Unsung Advantages of Being Petite in a Height-Obsessed World
Life's Too Short: The Advantages of Being Petite

Embracing Petite Stature in a World Obsessed with Height

Growing up presents a complex journey, marked by hormonal shifts, emotional turbulence, and the unpredictable changes of puberty. Among these challenges, height often emerges as a significant concern—a genetic trait beyond individual control, yet society frequently assigns it exaggerated importance. Tom Brada, a self-described "bonafide shortie" at 5ft5, attributes his stature to his 98-year-old grandmother, who stands at a mighty 4ft11. In a culture that champions "bigger is better," being short is often portrayed as a hurdle to overcome, particularly in contexts like dating, where phrases like "tall, dark, and handsome" place height at a premium.

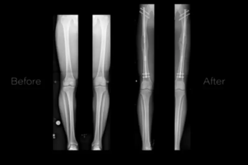
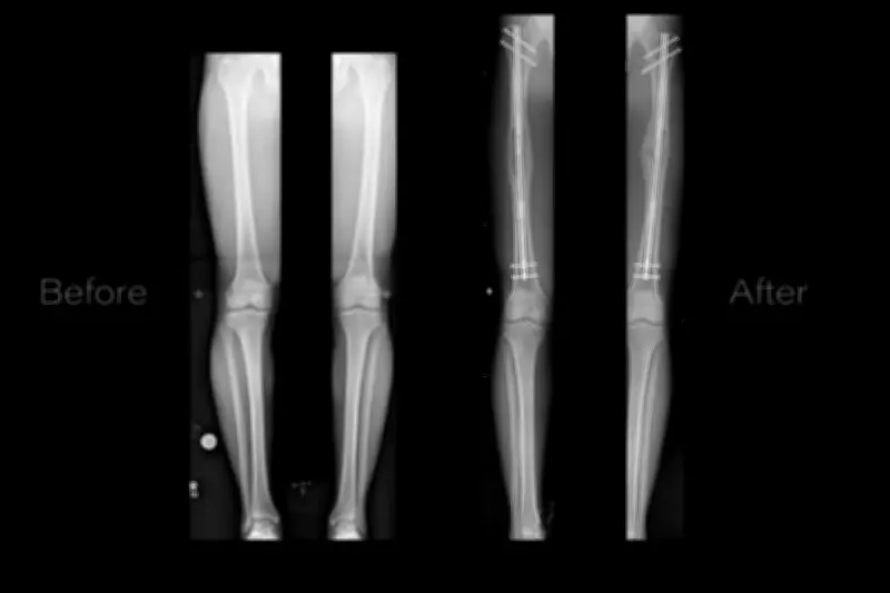
The Drastic Measures of Leg-Lengthening Surgery

In 2020, Brada produced a BBC documentary exploring the struggles of individuals so distressed by their height that they considered extreme measures. The procedure involves breaking leg bones, gradually separating them, and allowing healing to achieve added inches. While sophisticated and beneficial for those with limb discrepancies, it is an arduous process testing physical, mental, and financial limits. Recently, The Times highlighted a pioneering case: Alfie Phillips, a nine-year-old with a shorter right leg, underwent magnetic lengthening by British scientists. Brada acknowledges people's right to address their issues as they see fit but questions what it reveals about societal pressures that drive such drastic actions.

The Hidden Benefits of a Petite Frame

Despite challenges, Brada emphasizes that height should not define one negatively and highlights numerous advantages of being pint-sized:

Wide Pickt banner — collaborative shopping lists app for Telegram, phone mockup with grocery list
  • Chronic Underestimation: Being underestimated provides a strategic edge, allowing individuals to surprise others with their capabilities once guards are lowered.
  • Projection Skills: Without physical presence, short people often develop subtler qualities to capture attention and command rooms effectively.
  • Standing Out: In a sea of taller individuals, a petite person becomes memorable, offering a unique selling point that fosters distinction.
  • Practical Comforts: Superior legroom in vehicles and better balance due to a lower centre of gravity reduce risks of trips and tumbles.

Inspiring Examples and a Timeless Lesson

Brada cites successful petite figures like Lionel Messi, Simone Biles, Prince, Kylie Minogue, and Napoleon, noting their achievements are unrelated to height. His grandmother, at 98 years old and 4ft11, embodies this ethos—she has never apologised for her size or felt diminished by it. Her life demonstrates that insecurities, whether about height or other traits, should not dictate self-worth. Brada concludes that while he is short, it has never made him small, urging others to care less about societal standards and embrace their inherent value.

Pickt after-article banner — collaborative shopping lists app with family illustration