GP's Urgent Warning: 7 Health Signs Never to Ignore
A UK GP reveals seven subtle health symptoms that could indicate serious conditions. Learn what signs demand immediate medical attention to protect your wellbeing.
A UK GP reveals seven subtle health symptoms that could indicate serious conditions. Learn what signs demand immediate medical attention to protect your wellbeing.
An astrologer reveals the six zodiac signs most likely to find love this Christmas. Find out if your sign is on the list for festive sparks and serendipity.
New NHS research exposes alarming gap in public health awareness as majority of British adults can't identify symptoms of deadly conditions including cancer and heart attacks.
In a landmark legal ruling, Queensland Police face substantial penalties after preventing a registered medical marijuana patient from using his prescribed treatment during a vehicle search, raising crucial questions about patient rights and law enforcemen
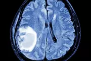
A mother's terrifying ordeal after doctors repeatedly dismissed her worsening symptoms as a simple head cold, only to discover she was suffering from a life-threatening condition that required emergency brain surgery.
A leading NHS doctor highlights a crucial early diabetes symptom that strikes at night - and explains why you shouldn't dismiss it as normal.
Discover how your fingernails reveal hidden stress levels and what those ridges, spots and changes really mean for your health. Expert insights from dermatologists.
A medical expert explains how the colour of your urine can reveal crucial information about your health, from dehydration to serious medical conditions.
Medical experts reveal why persistent headaches could signal something more serious, and when you should seek immediate medical attention for potential brain tumour symptoms.
Health chiefs issue critical alert about deadly sepsis symptoms everyone must recognise. Learn the life-saving signs and when to seek emergency care.
A leading NHS doctor shares how an unexpected physical change became the crucial warning sign for cancer detection in numerous cases, urging public awareness.
Tom Sandoval's former business partner Sam Vanderpump reveals he ignored critical cancer warning signs, mistaking them for minor ailments in a shocking health confession.
A leading medical expert identifies five crucial health indicators that could predict your lifespan. Discover the warning signs you need to know today.
Discover how this week's planetary alignment brings a powerful confidence surge to all zodiac signs. From career breakthroughs to personal transformations, find out what the stars have in store for you.
As the celestial seasons transition, discover how the upcoming cosmic changes will dramatically impact every zodiac sign's love life, career, and personal growth this autumn.
Learn to recognise the crucial early symptoms of stroke that could save your life or someone else's. Discover the FAST acronym and beyond in this essential health guide.
Groundbreaking psychology research reveals how a common physical mannerism might indicate psychopathic traits in relationships. Experts warn this subtle sign could be hiding in plain sight.
The NHS has identified seven crucial health warning signs that could indicate serious underlying conditions. Discover what symptoms demand immediate medical attention.
An NHS respiratory specialist explains when that persistent cough could signal a more serious health condition, from lung cancer to heart failure. Learn the warning signs that demand immediate medical attention.
NHS GP Dr Amir Khan reveals when common symptoms like headaches and stomach issues could signal something more serious and why you should never ignore them.
Medical experts reveal four crucial head-related symptoms that could indicate a brain tumour, urging immediate medical attention for persistent issues.
A leading medical expert has identified a crucial early warning sign of dementia that frequently goes unnoticed. Discover what to look for and when to seek medical advice.
Medical experts reveal the subtle yet crucial symptoms that could indicate a brain tumour, urging Brits not to dismiss persistent headaches, fatigue and cognitive changes.
Experts reveal the subtle symptoms that could indicate a brain tumour, from personality changes to vision problems. Learn when to seek medical attention.
A British man alleges Turkish medical staff attempted to harvest his father's organs before he was clinically dead, sparking an international medical ethics scandal and Foreign Office investigation.
UK health authorities issue urgent warning about spotting sepsis symptoms early as cases rise. Learn the critical signs that could save a life.
The NHS has issued a crucial warning about potentially fatal blood clots, revealing the subtle symptoms that could save your life. Learn the critical signs and when to seek emergency care.
Medical experts reveal a surprising early warning sign of heart attacks that often goes unnoticed. Learn how to spot this subtle symptom and when to seek urgent medical attention.
Medical experts reveal the hidden dangers of misdiagnosed UTIs and kidney stones as sepsis cases rise across the UK. Learn to spot the critical symptoms before it's too late.